「目が白くなってきた」という症状で来院される患者さんの中には、白内障だと思われて来られる飼主さんが多くおられます。しかし白内障以外にも目が白く見える疾患はたくさんあります。
今回は、目が白くなる疾患の中で白くなる部分に分けてお話しします。
角膜が白くなる疾患
角膜潰瘍

角膜中央に潰瘍があり周囲が白濁
目の表面(角膜上皮)に傷ができるとその下にある実質が水分を吸収して白く濁ります。また目やに、結膜の充血、羞明(目をしょぼつかせる)などの症状もみられます。
角膜炎

角膜中央に白濁(シーズー)

点状表層角膜炎(ミニチュアダックス)
感染症や慢性的な刺激、自己免疫反応など様々な原因で角膜に炎症が起こり白くなります。乾性角結膜炎(ドライアイ)やペキニーズやパグなどの短頭種によくみられます。
角膜変性症

角膜上皮下にカルシウム沈着
角膜上皮下に脂質やカルシウムが沈着し白い斑点状に見えます。犬種によっては遺伝により、また老齢動物でよく見られます。進行するとその一部が脱落し角膜潰瘍をおこすことがあります。
角膜内皮障害

角膜半分の領域が白濁(チワワ)
角膜の内皮が変性を起こすと実質の水分過剰によって角膜が混濁(角膜浮腫)をおこします。老齢動物や犬種による素因(ボストンテリア、チワワ、プードルなど)で見られます。難治性で進行すると角膜全体が白くなり視覚が低下します。
緑内障

高眼圧による角膜浮腫(柴犬)
何らかの原因で目の中の水(眼房水)の排泄が悪くなると眼圧が上昇し、角膜が浮腫をおこすことにより白く濁ります。強い痛みを伴います。原発性(遺伝性)、続発性(眼内の炎症、腫瘍、水晶体脱臼など)が原因として考えられます。早急な処置が必要で、失明のリスクが高い疾患です。
前房が白く濁る疾患
前部ぶどう膜炎

(犬)

(猫)
感染症(ウイルス、真菌、細菌)や免疫反応などにより房水中に線維素や炎症細胞が混入し、白く混濁して見えます。また白内障の進行によっても起こることがあります。結膜の充血、羞明、目やになどの症状も伴います。
脂質性房水


血液検査にて高脂血症と診断
房水中に遊離脂肪とリポ蛋白が出現し乳白色に混濁して見えます。高脂血症が原因で起こることがあります。また、ぶどう膜炎と同じような症状がみられます。
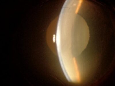
水晶体が白くなる疾患
白内障

未熟白内障

成熟白内障
水晶体内のタンパク質が変性し白くなります。若年性(遺伝性)、老齢性、糖尿病性が原因としてあります。進行すると水晶体全体が真っ白になり視覚が失われます。また水晶体タンパクが眼内に漏出すると、ぶどう膜炎をおこすことがあります。
核硬化症


加齢とともに水晶体の中心部が硬くなることで青白く見える老化現象です。犬では6~8歳以降からみられ、猫では13歳以降でみられることがあります。白内障と間違われることが多いですが、これにより視覚を失うことはありません。
〜まとめ〜
犬や猫の目が白くなる原因として白内障がよく知られていますが、それ以外にも様々な疾患があります。また短期間で視覚を失う疾患もありますので、早めに動物病院への受診が勧められます。早期発見と適切な治療が非常に重要です。
ご予約
022-767-7566

